prof. prim. dr. sc. Darija Mahović Lakušić dr. med., spec. neurologije

Imate pitanje vezano za zdravlje?

Konzultirajte se s našim stručnim timom.

Neurologija

Hipertrofija mišića potkolenice

Neurologija

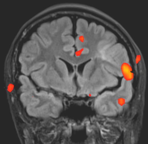
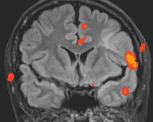
Glavobolja i gubitak vida u bolesnika s temporalnim arteritisom

Vrijeme čitanja članka: 3 minuteTemporalni arteritis (ispravan termin je po novijoj klasifikaciji – gigantocelularni arteritis GCA) je imunološki posredovana kronična upala (vaskulitis) velikih i srednje velikih arterija.

Neurologija

Tranzitorna (prolazna) globalna amnezija

Vrijeme čitanja članka: 2 minuteTranzitorna globalna amnezija je iznenadna, kratkotrajna epizoda gubitka memorije. Iako se smatra da je puno rjeđa od moždanog udara, bolesnici s takvom kliničkom slikom često se javljaju u hitnu neurološku ambulantu.

Neurologija

Što kad ruke drhte? Esencijalni tremor?

Vrijeme čitanja članka: 2 minuteEsencijalni tremor je neurološki poremećaj koji je karakteriziran nekontroliranim i ritmičnim drhtanjem određenih dijelova tijela koji je prisutan prilikom izvođenja pokreta.

Neurologija

Uho grlo

Neurologija

Što je glosofaringealna neuralgija?

Vrijeme čitanja članka: < 1 minutaGlosofaringealna neuralgija je znatno rjeđe od trigeminalne neuralgije i pojavljuje se oko 0,7 oboljelih na 1000 000 stanovnka. Češća je u osoba iznad 50 godine života.

Neurologija

Što je okcipitalna neuralgija?

Vrijeme čitanja članka: 2 minuteOkcipitalna neuralgija podrazumjeva jaku bol u zatiljnom dijelu glave (obično na mjestu gdje završava rast kose između vrata i glave).

Neurologija

Europske smjernice za primjenu monoklonskih antitijela na CGRP i CGRP receptor u profilaktičkom liječenju migrene

Vrijeme čitanja članka: < 1 minutaBolesnicima s epizodičkom ili kroničnom migrenom u kojih su primijenjena barem dva nespecifična profilaktička lijeka (npr. propranolol, duloksetin… ) ali su izostavljena zbog neučinkovitosti ili nuspojava ili ih nije bilo moguće primjeniti zbog drugih postojećih bolesti.

Neurologija

Vrtoglavice

Neurologija

Posttraumatski stresni poremećaj u bolesnika s preboljelim moždanim udarom

Vrijeme čitanja članka: 2 minuteOsim tzv. tjelesnih posljedica moždanog udara poput smetnji govora, oslabljenog pokretanja ili potpune nemogućnosti gibanja zahvaćene ruke i/ili noge, ovisnonosti o tuđoj pomoći, radne nesposobnosti i sl. moguć je već u ranoj fazi liječenja u bolnici te kroničnoj fazi bolesti razvoj čitavog niza psihosomatskih i psihičkih poremećaja oboljelih osoba što, ako se ne prepozna na […]

Neurologija

Novosti u liječenju migrene- prva specifična profilaktička terapija migrene

Vrijeme čitanja članka: 2 minuteIako patofiziološki mehanizam nastanka migrene nije u potpunosti poznat, zna se da važnu ulogu u aktivaciji migrenskog napadaja ima kalcitonin-gen povezani peptid (eng. calcitonin gene related peptide- CGRP).

Neurologija

Što je profilaktička terapija u bolesnika s migrenom??

Vrijeme čitanja članka: 2 minuteMigrena je primarna, funkcionalna, periodička, srednje jaka do jaka glavobolja. Javlja se u 15 – 20% ženske populacije, dok je učestalost u muškaraca između 4 – 7%.